可愛妹妹 - 齒顎矯正|陳式萱醫師

首頁 / 成功案例 / 可愛妹妹 - 齒顎矯正|陳式萱醫師

分享

可愛妹妹 - 齒顎矯正|陳式萱醫師

齒顎矯正|可愛妹妹

可愛妹妹 - 齒顎矯正|陳式萱醫師

成本:
持續時間:
程序: 牙齒矯正
現在預訂

 

聲明:

「本案例為本院醫師實際治療,由於每個人身體及牙齒狀況不同,術後狀況也不盡相同,建議親自來本所由專業醫師諮詢評估。」

版權所有,非經同意不得轉載或公開傳播

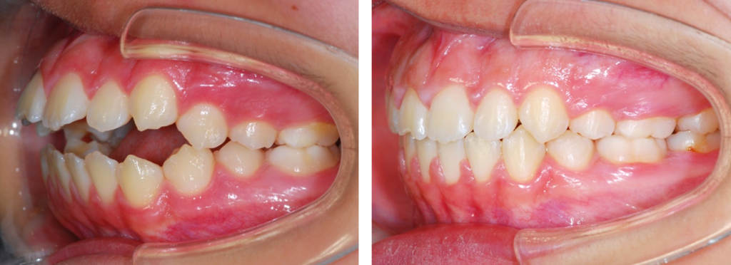
BEFORE  AFTER 

聲明:

「本案例為本院醫師實際治療,由於每個人身體及牙齒狀況不同,術後狀況也不盡相同,建議親自來本所由專業醫師諮詢評估。」

版權所有,非經同意不得轉載或公開傳播

 

陳式萱醫師部落格

  • 齒顎矯正|可愛妹妹
    完成照片

預約諮詢 https://www.facebook.com/junjie.dental/ https://line.me/R/ti/p/%40qwg2494z