大眼姑娘 - 齒顎矯正|陳式萱醫師

首頁 / 成功案例 / 大眼姑娘 - 齒顎矯正|陳式萱醫師

分享

大眼姑娘 - 齒顎矯正|陳式萱醫師

暴牙、牙齒擁擠、深咬

齒顎矯正|大眼姑娘

大眼姑娘 - 齒顎矯正|陳式萱醫師

成本:
持續時間:
程序: 牙齒矯正
現在預訂

聲明:

「本案例為本院醫師實際治療,由於每個人身體及牙齒狀況不同,術後狀況也不盡相同,建議親自來本所由專業醫師諮詢評估。」

版權所有,非經同意不得轉載或公開傳播

-

 

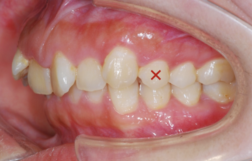
【矯正方式】:拔除兩顆上排第一小臼齒,未使用骨釘

紅色星號處為拔除之小臼齒。

 

 

這位小姐屬於第二級第二類咬合不正,上排正中門牙往內傾倒,並且過度萌出,呈現深咬。矯正後,門牙齒軸獲得良好改善,深咬也打開囉!

右上門牙因抽過神經之故,拍攝矯正後照片時已換成臨時牙套。

建議像這種較短的門牙,可以配合牙冠增長術,把牙齦修整至與對側門牙一致,再做假牙就很漂亮囉!

-

聲明:

「本案例為本院醫師實際治療,由於每個人身體及牙齒狀況不同,術後狀況也不盡相同,建議親自來本所由專業醫師諮詢評估。」

版權所有,非經同意不得轉載或公開傳播

  • 齒顎矯正|大眼姑娘
    完成照片
  • 齒顎矯正|大眼姑娘
    Before口內照
  • 齒顎矯正|大眼姑娘
    After口內照

暴牙、牙齒擁擠、深咬

暴牙、牙齒擁擠、深咬

預約諮詢 https://www.facebook.com/junjie.dental/ https://line.me/R/ti/p/%40qwg2494z